認定医によるマウスピース矯正で
見た目も機能性も向上
歯並びの改善ならお任せください
認定医によるマウスピース矯正で
見た目も機能性も向上
歯並びの改善ならお任せください

阪急宝塚駅

徒歩 3

土曜も夜まで診療

地域に愛され

27 年以上

歴史ある歯科医院

安心安全の

無料相談

シミュレーション付

インビザライン
認定ドクターが在籍

〈奥田歯科クリニックでは〉

無料相談
を実施しています

先進の3D口腔内スキャナーiTero(アイテロ)を
完備しております。

PRICE

インビザライン料金

当院では明瞭な
料金体制で行っています

月額だけを安く見せる仕組みではなく、
総額をきちんとお伝えします。

軽度の場合

前歯だけ治したい
軽度のガタガタ・すきっ歯
昔の矯正の後戻りが気になる方

総額 45 万円(税抜)

中等度の場合

抜歯はいらないけど全体的に
歯並びを治したい方
中度のガタツキ・出っ歯がある方

総額 65 万円(税抜)

重度の場合

全体的なガタツキ
出っ歯があり場合によっては
抜歯も必要になる重度の方

総額 95 万円(税抜)

〈 もちろん分割払いにも対応しています!
分割ご希望の方はお気軽にご相談ください 〉

ご契約後に、長期ローンが不安という
お悩みを解消するために予め総額を提示しております。
分割払いも対応しておりますのでご安心ください。

PAYMENT

お支払いについて

マウスピース矯正は、クレジットカードでのお支払いが可能です。
実際に当院でマウスピース矯正を始められる方の多くが、分割払いをご利用されています。

分割払いをご利用いただくことで、月々のご負担を抑えて治療を始めていただけます。

お支払い例
マウスピース矯正 650,000円 の場合
(中等度の場合)
→ 月々 約40,000円〜
【分割払い】

「一度に大きな金額を支払うのが不安…」という方も
無理のない範囲のお支払い方法をご提案しておりますので、ご安心ください。

※分割回数やお支払い金額はカード会社により異なります。詳しくはお気軽にご相談ください。

世界で1,500万人以上が選んだ矯正ブランド

当院ではインビザラインを
導入しています

インビザラインケース

インビザラインは、透明で目立ちにくいマウスピースを使用した矯正治療で、従来のワイヤー矯正に比べて痛みが少なく、日常生活への負担が少ないことが大きな特徴です。当院では、口腔内を短時間で精密に読み取れる3Dスキャナー「iTero(アイテロ)」を導入しており、歯型取りの不快感を軽減しながら、より正確なデータに基づく治療計画を立てることができます。ゴールが明確になることで安心して治療を進められる点も魅力です。

VOICE

昔は目立つ銀色のワイヤータイプしかなかったのでとにかく見た目が気になっていましたが透明で随時取り外しできるのが衛生的でいい。

VOICE

友人でワイヤー矯正をしている人に話を聞いていて硬いものが食べれなくなったり口が切れたりと言っていたがそれもなく快適だった。

VOICE

人前で話す職業なので矯正はずっとしたかったけど一歩勇気が出ず。インビザラインに出会って滑舌も気にならず矯正できました。

VOICE

歯がちゃんと動いているって実感できました。食事の制限がないのが楽で歯磨きもちゃんとできるので虫歯にもなりにくいです。

インビザラインの
マウスピース矯正なら
様々な歯並びに対応可能

八重歯・乱杭歯(叢生)

八重歯・乱杭歯(叢生)

オープンバイト(開咬)

オープンバイト(開咬)

交叉咬合

交叉咬合

深いかみ合わせ(過蓋咬合)

正中の不一致

すきっ歯(空隙歯列)

深いかみ合わせ(過蓋咬合)

正中の不一致

すきっ歯(空隙歯列)

出っ歯(上顎前突)

受け口(反対咬合)

受け口(反対咬合)

出っ歯(上顎前突)

口ゴボ(上下顎前突)

口ゴボ(上下顎前突)

歯並びに悩む女性

TROUBLE

歯列矯正を考えているが不安…

こんなお悩みありませんか?

  • 何回も通院するのがめんどう…
  • 痛みが不安で一歩勇気が出ない…
  • 食事制限や滑舌も悪くならないか気になっている…
  • 歯磨きがしにくく結局虫歯にならないか不安…
  • 目立った矯正器具はつけたくない…
  • 口の中が切れたり金属アレルギーが心配…

そんな不安はすべて
マウスピース矯正の
インビザラインにお任せ

〈奥田歯科クリニックでは〉

インビザライン
認定医在籍
インビザライン認定医 がこれからの悩みを解消!

これからの悩みを解消
そしてインビザラインの
こんなところも嬉しい!

痛みが最小限

段階的に少しずつ歯を動かすため
痛みや違和感を最小限に抑えながら
治療を進められます。

通院回数が少ない

あらかじめ治療計画を立て
段階ごとのマウスピースをまとめてお渡しできるため、頻繁な調整が不要です。

透明で目立たない

透明で目立たないマウスピース矯正は
人前にでることが多い人にも嬉しい!
自然な笑顔で日常を楽しめます。

取り外して歯磨き可能

取り外しができるため歯磨きも
いつも通り可能です。そのため
虫歯や歯周病のリスクも低下します。

食事制限無し

食事の際に装置を外せることが大きな
特徴です。普段通りの食事を楽しめますのでご安心ください。

私たちが皆さんの
歯とこれからを全力で
サポートします

歯並びについて現在
無料相談をおこなっておりますので
まずは歯の状況を見せていただき
気になっていることをお聞かせください。

矯正ができるのは
大人だけではありません

歯列矯正が行えるのは大人だけでなく
お子さんも治療が可能となっています。

お子さんの場合は、歯の生え変わり状態によって治療方法が異なってきます。第一期といわれる6歳ごろからが対象となっており器具を使って顎を広げたり骨の成長をコントロールすることによって、後戻りを防ぐことが可能です。歯並びに悪影響を及ぼす癖や舌の悪い癖を改善する指導も並行して行います。

1期治療(6〜12歳頃)

あごの成長を利用して歯並びやかみ合わせの土台を整える重要な時期です。永久歯が生えそろう前に介入することで、将来の抜歯や本格矯正の必要性を減らせる場合があります。治療方法には、上あごを広げる急速拡大装置、舌や口唇の癖を改善する筋機能訓練(MFT)、取り外し式の床矯正装置、前歯の傾きを整えるワイヤー治療などがあります。成長に合わせた段階的なアプローチにより、自然なバランスへ導くことが可能です。

2期治療(中学生〜)

永久歯が生えそろってから行う本格的な矯正治療で、歯並びとかみ合わせを最終的に整える段階です。ワイヤー矯正やマウスピース矯正を用いて、歯をコントロールし、理想的な位置へ精密に移動させます。1期治療で土台が整っている場合は治療期間が短縮されたり、抜歯を回避できることもあり見た目の改善だけでなく、咀嚼機能や清掃性の向上にもつながるため、将来的なむし歯・歯周病リスクを軽減できます。

筋機能訓練装置(マウスピース型)
筋機能訓練装置
(マウスピース型)
拡大装置
拡大装置
ワイヤー矯正
ワイヤー矯正
マウスピース矯正(インビザライン・ファースト/ティーン)
マウスピース矯正
(インビザライン・ファースト/ティーン)

REASON

当院のマウスピース矯正治療が

選ばれる5つの理由

#01
大人と子ども
どちらも
対応可能
認定医による
無料相談

安心の認定医在籍
インビザライン認定ドクター
による丁寧な治療計画

当院には、インビザライン公式の認定ドクターが在籍しており、豊富な経験に基づいた精密な治療計画をご提案します。さらに口腔内スキャナー「iTero」を導入しているため、わずか数分のスキャンで、未来の歯並びをその場で3Dシミュレーション表示できます。従来の型取りのような不快感がなく、より正確でスピーディーな治療開始が可能です。治療後のイメージを事前に確認できるため、お子さまも保護者の方も安心して矯正を進められます。インビザライン治療の質を高める体制が整ったクリニックです。

#02

お口の今もこれからも守る
予防歯科として総合的にサポート

当院では歯の矯正治療だけでなく虫歯や歯周病といった一般歯科にも対応しています。生涯のお口のかかりつけ医としてその根本的な原因を明らかにし、原因に合わせた適切なケアや予防を行うことで、健康な歯を生涯にわたって保つことを目指します。

#03

駅から徒歩3分
土曜日も19時まで診療中

奥田歯科クリニックは、阪急宝塚駅から徒歩3分とアクセスしやすい駅前の歯科医院です。平日はもちろん夜間診療もしているため夜も通いやすいです。土曜日も19時まで診療しているので、平日が忙しい学生の方、仕事帰りのビジネスパーソンにもおすすめです。

#04

親子で通う歯医者
地域とともに成長していく環境

1998年より、この宝塚で歯医者を営んできました。
初診できたときはまだ幼かった方が今では成人しお子さんとともに通ってくださる環境です。
皆さんと一緒に当院も成長させていただいており、子どもも通いやすい楽しい企画にも積極的に取り組んでいます。

#05

明瞭な料金体系
きちんと総額をお伝えします

長期ローンで結果高額だったというケースをなくすために当院では先に総額でかかる費用をしっかり提示してから、そこから何分割をご希望かをご相談して決めていきます。安心して通ってほしいからこそお会計もわかりやすい体制を整えています。

DENTIST

歯科医師紹介

歯科医師の写真
インビザライン
認定医

宝塚の歯医者|奥田歯科クリニック 副院長

奥田 裕哉

初めまして。この度、奥田歯科クリニック副院長に就任致しました奥田裕哉です。
私は日々患者様の診療に携わらせていただく中で、“人と人とのご縁”を大切にしております。そこで私はご来院いただいた皆様と向き合い、しっかりとお話をうかがう事を大切にしております。

患者さま一人ひとりにあった治療法、治療計画をご提案しますので何でもご相談ください。

CASE

実際にどんな歯のお悩みがあるか

症例をご覧ください

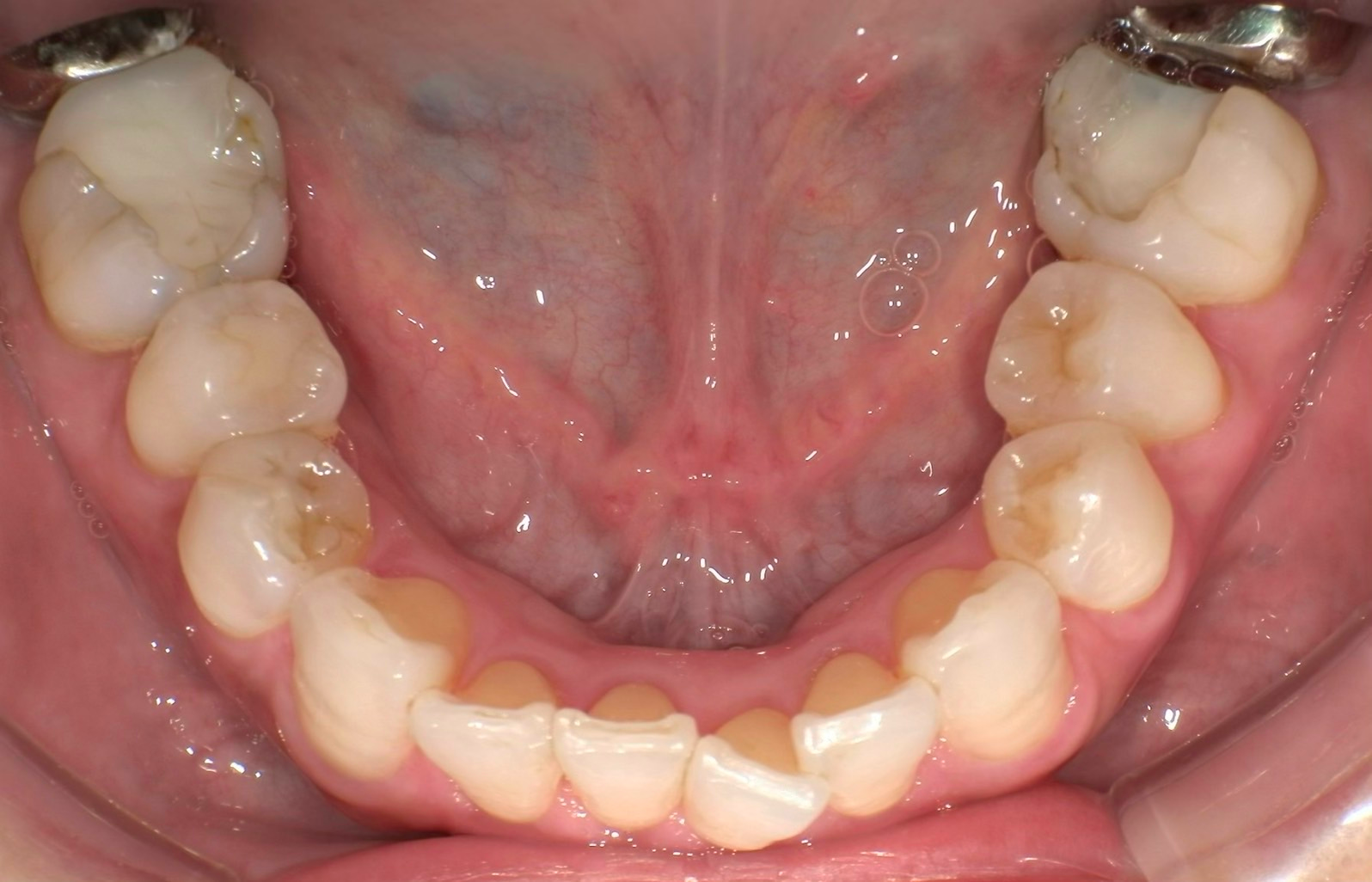
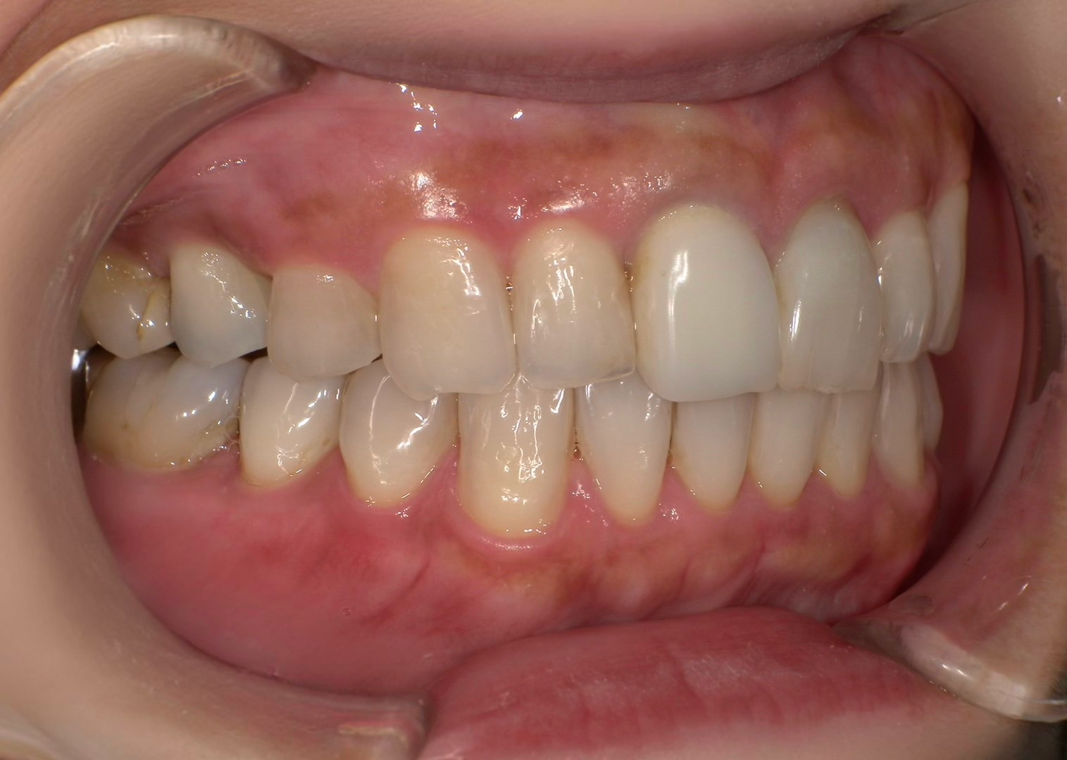
主訴

# 出っ歯 # 下の歯がすきっ歯

治療期間

約7ヶ月

年齢 / 性別

30代 / 女性

総額

45万円

患者様の感想

開始してから痛みもほとんどなく、仕事をしながら続けることができました。短い期間でキレイな歯並びになりとても満足です。

医師のコメント

装着時間を維持できるか、着けて生活できるか不安とのことでしたが、始めてみると問題なく装着して頂けて、最短期間で矯正治療を終えることができました。

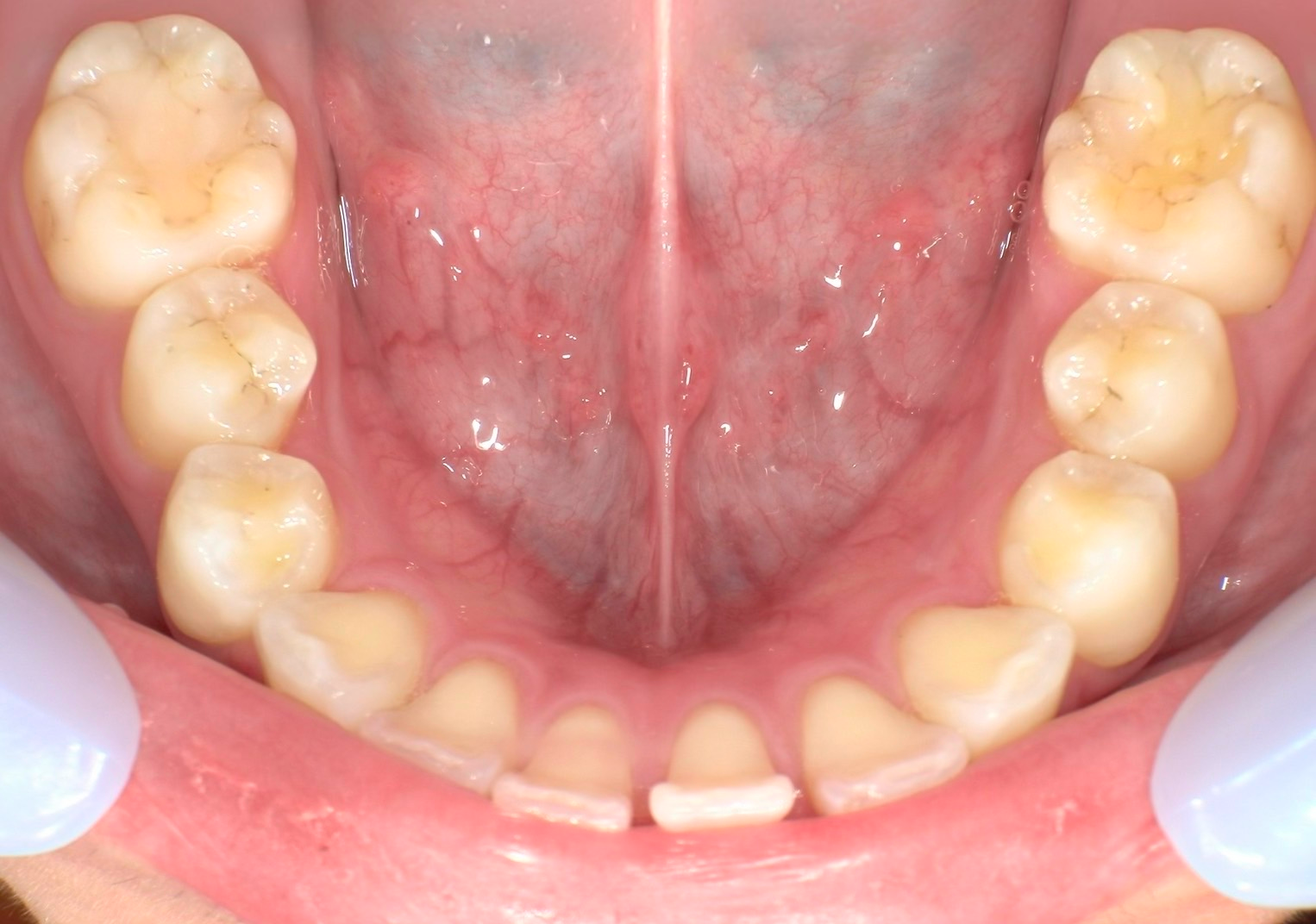
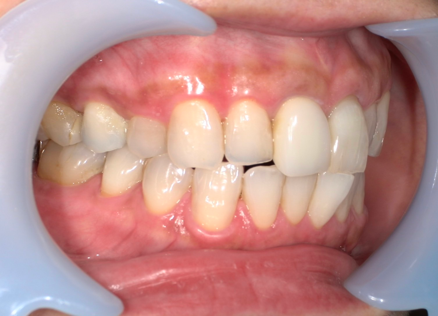
主訴

# 出っ歯 # 下の歯がガタガタ

治療期間

約13ヶ月

年齢 / 性別

50代 / 女性

総額

65万円

患者様の感想

痛みは大丈夫か、装着時間を確保できるか不安でしたが痛みもほとんどなく無事終了することができました。審美的にも良くなり、歯磨きもしやすくなりました。

医師のコメント

痛みや装着時間が不安ですとおっしゃっていましたがきっちり装着して頂いたことにより最短期間で終了することができ矯正終了時の明るい笑顔が印象的でした。

PRICE

インビザライン(マウスピース矯正)料金

軽度プラン

総額 45 万円

中等度プラン

総額 65 万円

重度プラン

総額 95 万円

※表示はすべて税抜き価格です。
※分割払いも対応可能ですので随時ご相談ください。

無料相談
実施中

LINEはこちら

定期メンテナンスでお越しいただいた際には調整料が必要です

調整料

4,000
(税抜)

インビザラインケース

通院回数

1ヶ月1回

無料相談実施中

LINEはこちら

PAYMENT

お支払いについて

マウスピース矯正は、クレジットカードでのお支払いが可能です。
実際に当院でマウスピース矯正を始められる方の多くが、分割払いをご利用されています。

分割払いをご利用いただくことで、月々のご負担を抑えて治療を始めていただけます。

お支払い例
マウスピース矯正 650,000円 の場合
(中等度の場合)
→ 月々 約40,000円〜
【分割払い】

「一度に大きな金額を支払うのが不安…」という方も
無理のない範囲のお支払い方法をご提案しておりますので、ご安心ください。

※分割回数やお支払い金額はカード会社により異なります。詳しくはお気軽にご相談ください。

FLOW

診療の流れ

STEP1

無料カウンセリングと
簡易シミュレーション

まずは無料相談で歯の状況を見せていただき気になる点をお伺いします。簡易シミュレーションも行えるので予約は下のボタンよりお願いします。

公式LINE追加で24時間予約受付中

STEP2

精密診断

精密検査に入ります。精密検査を行いより詳しい歯の状態を確認していきます。

STEP3

治療計画の説明

歯の状況を把握したら抜歯の有無や今後の治療や費用の詳細を計画します。お支払い方法や期間についてより具体的にお話しいたします。

STEP4

治療開始

治療計画後いよいよ治療開始です。治療後は、約1ヶ月に1回の定期メンテナンスを行い歯の動きに合わせてマウスピースを差し替えていきます。

よくあるご質問

従来のワイヤー矯正のように金具の取り外しがないため痛みは最小限になっています。新しいマウスピースを装着する際は、歯が少し締め付けられたような感覚になるという声もございます。
ほとんどの方が問題なくお話しされています。インビザラインは薄く透明なマウスピース型の矯正装置のため、装着初期に多少の違和感を感じる方はいますが、多くの場合は数日〜1週間ほどで慣れます。接客業や営業職など、人と話すお仕事をされている方にも多く選ばれています。
精密なシミュレーションで、歯の動きを事前に確認できます。インビザラインでは、治療前に3Dシミュレーションを行い、歯がどのように動いていくかを可視化します。そのため「本当に動くのか」という不安を、事前にしっかり確認したうえで治療を始めることができます。
年齢制限はなく、健康な歯と歯ぐきがあれば可能です。インビザラインは何歳まで、という制限はありません。歯周病などがコントロールされていれば、40代・50代・60代以上の方でも治療を受けている方は多くいらっしゃいます。
症状によりますが、一般的には半年〜2年程度です。歯並びの状態や目標によって個人差があります。軽度な矯正であれば数か月で終わるケースもあり、詳しい期間はカウンセリング時にご説明します。
症例によっては、他の矯正方法をご提案する場合があります。重度の歯並びや、歯周病が進行している場合などは、インビザライン単独での治療が難しいことがあります。その場合も無理に進めることはなく、患者様に合った治療方法をご提案します。
はい、分割払いにも対応しています。クレジットカードや院内分割など、無理のないお支払い方法をご相談いただけます。詳しくはカウンセリング時にお気軽にお尋ねください。
月1回の通院の際に、調整料(4,000円)が必要となります。紛失・破損時の再作製などが必要な場合、別途追加費用が発生することがございます。

リスク・副作用について

装着したまま飲食をすると、虫歯・歯周病リスクが高まります。
汚れを溜めないように、洗浄を行わないと歯にフィットしなくなることがございます。
症例によっては、歯を削る必要が生じることがございます。
症例によっては、治療が適応できないことがございます。
歯科医師の指示通り装着時間を守らないと、歯が計画通りに動きません。
歯科医師の指示通り保定期間を装着しないと、歯が後戻りする恐れがございます。
薬機法対象外の矯正歯科装置であり、医薬品副作用被害救済制度の対象外となる場合がございます。